矯正歯科

orthodontic

  1. TOP
  2. 矯正歯科

矯正治療の定額制

flat rate

  • 矯正をもっと身近に、もっと快適に!
    矯正治療の定額制スタート!
    例えば唇側矯正(表側矯正)の場合、ご希望の装置に合わせて選べる2プランをご用意しています!
    『トータルフィー70.4万円(税込)or77万円(税込) 』で、調整料、アンカースクリュー込みに!
    77万円のプランでは、セルフライゲーションブランケット+ホワイトワイヤーが付きます。
    より快適に、治療時間・期間を短縮できる、最新の矯正治療を体験しましょう。
    (部分矯正の方は、セルフライゲーション、ホワイトワイヤーは別途料金がかかります)

    他医院と料金を比較してください。 他医院と料金を比較してください。

当院の方針

policy

矯正治療とは、歯並びや噛み合わせの悪さ(不正咬合)を改善する歯科治療です。
矯正治療の目的は、口元の見た目の改善はもちろん、虫歯や歯周病のリスク低下、そして食べ物を噛む、話すといった口の機能の改善です。
特に見た目、噛み合わせに関しては力を入れていて当院で治療を受けた100%の人に満足していただけることを目標に治療しております。

また、当院では良いものを低価格でより多くの方へ提供していきたいと考えています。

良質な治療とは

    • 歯並びと噛み合わせの改善を目的として治療を行い、顎や顔を構成する骨格が調和のとれている状態に仕上げること。

      →様々な矯正治療に精通した矯正専門の先生による治療を受けられます。

    • 治療において患者様への説明と同意がきちんとされていること。

      →毎回、念入りに質問がないか確認し気軽にどんな質問でも聞きやすい環境に整えています。治療後には本日の治療内容をわかりやすく説明し、今後の治療の流れ等に不安が残らないよう何度でも説明することで安心して治療を受けていただく事ができます。

    • クリーニング等を怠らずに治療による2次被害(虫歯等)をもたらさないこと。

      →エアーフローによるお口の中の清掃、フッ素塗布を毎回行います。希望により保険治療による徹底的なクリーニングも受けていただけます。

費用を抑えられる理由

当院の矯正治療は、治療の質を落とすことで費用を抑えているのではありません。
技術力と治療の精度を高めることで、無駄を減らし、結果として費用負担を抑えた料金設定を実現しています。

矯正治療は、治療が長引いたり、途中で調整や修正が増えるほど、患者さまの負担が大きくなりやすい治療です。
その原因の多くは、治療計画のズレや、装置の装着精度による誤差が積み重なってしまうことにあります。

当院では、治療計画を丁寧に立てたうえで、装置を正確に装着する技術にこだわり、仕上がりのエラーが起こりにくい治療を目指しています。

その結果、毎回の調整がスムーズに進みやすく、1回あたりの治療時間の短縮と、全体の治療期間の短縮につながります。

「技術力が高いからこそ、治療が効率よく進み、患者さまの負担を抑えられる」これが当院の考える、費用を抑えた矯正治療の理由です。

保険で受けられる矯正治療
(顎変形症・先天疾患・埋伏歯牽引)

insurance-covered orthodontic treatment

当院では、医療的に必要性が認められる矯正治療について、健康保険を利用した矯正治療に対応しています。
一般的な審美目的の矯正(自費治療)とは異なり、診断により保険適用となる場合があります。

保険適用となる矯正治療の主な対象

保険で矯正治療を行えるのは、主に以下のようなケースです。

① 顎変形症(外科手術を伴う矯正治療)

顎の骨格のズレが原因で、噛み合わせや顔貌バランスに影響が出ている場合、外科手術(顎の手術)を伴う矯正治療が保険適用となります。

顎変形症の治療対象となる例
  • 骨格性下顎前突(受け口)
  • 極度の下顎後退(顎が小さい・引っ込んでいる)
  • 骨格的に上顎または下顎に歪みがある(左右差・ねじれ)
  • 骨格性開咬(奥歯で噛んでも前歯が閉じない)

② 先天性疾患に起因する咬合異常(指定疾患)

厚生労働大臣が定める先天性疾患などにより、咬合異常が生じている場合、保険適用となることがあります。

※対象となるかどうかは診断により判断します。

③ 永久歯の萌出不全(埋伏歯)※3歯以上

永久歯が生えてこない(埋伏している)状態があり、3歯以上の未萌出歯が認められ、開窓・牽引を伴う矯正治療が必要な場合に保険適用となることがあります。

相談の段階で治療方針を選択できます

骨格の歪みが疑われる方に対して、当院では矯正相談の段階で

  • 矯正治療のみで行う自費治療(単独矯正)
  • 保険適用となる顎変形症治療(外科矯正)

のどちらが適しているかを丁寧に説明し、治療方針を選択できる体制を整えています。

「手術が必要なのか分からない」、「矯正だけで改善できるのか知りたい」、そのような方も、まずはお気軽にご相談ください。

ご相談・ご予約について

保険適用となるかどうかは、診断・条件の確認が必要です。
顎のズレ、噛みにくさ、顔の左右差、受け口、開咬などが気になる方は、まずはご相談ください。

成人矯正

adult orthodontics

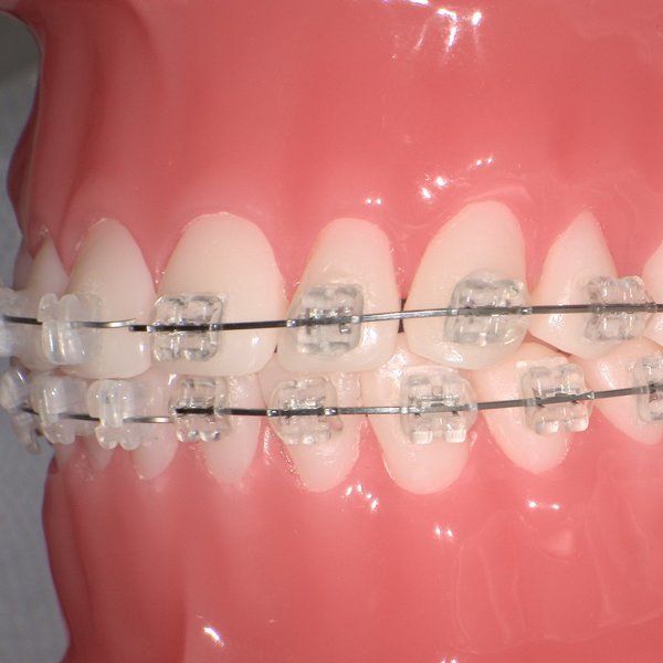
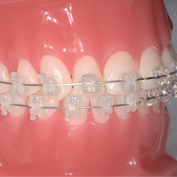
  • 唇側矯正装置

    唇側矯正装置(表側矯正)

    歯の表側に矯正装置(ブラケット)をつけて、そこにワイヤーを通すことで歯を動かし歯並びや噛み合わせを改善させる方法です。

    当院の唇側矯正装置の種類

    唇側矯正は、患者さまのご希望に合わせて選べる2つのプランをご用意しています。
    装置がより目立ちにくいセラミック素材のブラケットとホワイトワイヤーを使用した審美性の高いプランと、従来型のプラスチック素材の審美ブラケットを使用したプランがあります。

    ①プラスチックブラケット矯正

    エラスティックゴムを使って、ブラケットにワイヤーを結びつける従来型の方法です。
    透明感のあるプラスチック素材の審美ブランケットを使用し、歯列に自然に溶け込むため、唇側矯正でありながら目立ちにくいのが特徴です。
    エラスティックゴムによりワイヤーがブラケットにしっかり保持されることで、歯を計画通りに動かすことができます。
    素材の質感とシンプルな構造がもたらす審美性と機能性のバランスは、日常生活においても安心してお使いいただける仕上がりです。

    ②セラミック素材のセルフライゲーションブラケット + ホワイトワイヤー矯正

    審美ブラケットには、セラミック素材のセルフライゲーションブラケットを、ホワイトワイヤーにはロジウムコーティングによる自然な白さのワイヤーを使用しています。
    これまで数多くの唇側矯正装置を見てきた中で、ドクター目線でも最も美しく、目立ちにくいと感じた装置であるため、この組み合わせを採用しています。
    最上級の品質の材料を使用することにより、見た目の美しさと機能面の両立を実現しています。

    ブラケット、ワイヤーへのこだわり

    ホワイトワイヤー
    ホワイトワイヤー

    最新のロジウムコーティングホワイトワイヤーで目立たない。

    審美ブランケット
    従来
    従来型
    • ●ワイヤーまたはゴムでとめるため、摩擦が多く痛みを感じることがある。
    • ●時間経過でゴムが黄ばむ。
    セルフライゲーション
    セルフライゲーション
    • ●シャッター構造のためゴムがなく、審美的により美しい。
    • ●ゴムによる摩擦がないため、ワイヤーの動きがよく、治療期間を短縮できる。

    唇側矯正の特徴

    • メリット
      • ほとんど全てのケースで治療が可能
      • 治療費を抑えられる
      • 話しやすい(舌への影響が少ない)
    • デメリット
      • 矯正装置がみえる
      • 違和感がある
      • 歯磨きがしにくい

    治療期間・費用

    • 治療期間

      数ヶ月〜3年程度

    • 治療回数

      数回〜36回程度

    • 費用

      ①プラスチックブラケット

      上下顎矯正 70.4万円(税込)

      ②セルフライゲーションブラケット + ホワイトワイヤー

      上下顎矯正 77万円(税込)
      部分矯正 33〜55万円(税込)

    ※調整料、アンカースクリュー込みになります。
    ※部分矯正の方で、セルフライゲーションブラケット、ホワイトワイヤーが希望の方は追加料金がかかります。

  • 舌側矯正装置

    舌側矯正装置(裏側矯正)

    舌側矯正装置とは、矯正装置を歯の裏側(舌側)に装着するワイヤー矯正の一種で、装置が外側から見えないため矯正治療をしていることを気づかれにくいことが最大の特徴です。

    舌側矯正の特徴

    • メリット
      • 審美性が高い:装置が歯の裏側につくため、治療中に装置が見えず、周囲に気づかれずに矯正治療を進められます。
      • 虫歯リスクの低減:唾液が装置に触れることで自浄作用が働き、虫歯のリスクが低くなると言われています。
    • デメリット
      • 歯磨きが難しい:歯の裏側に装置があるため、表側に比べて歯磨きが難しくなり、丁寧な清掃が必要です。
      • 発音への影響:装置に慣れるまで、舌の働きが制限されて発音しにくさを感じる場合があります。

    治療期間・費用

    • 治療期間

      治療期間 1年〜3年程度

    • 費用

      132万円(税込)

    ※アンカースクリュー、調整料込みになります。

  • ハーフリンガル

    ハーフリンガル矯正

    ハーフリンガル矯正とは、上の歯の裏側に矯正装置を、下の歯の表側に矯正装置を装着する、表側矯正と舌側矯正を組み合わせた治療法です。
    最も目立ちやすい上の歯の装置を裏側に装着することで、見た目の審美性を保ちながら矯正治療を進められます。

    ハーフリンガル矯正の特徴

    • メリット
      • 審美性が高い:上の歯の裏側に装置をつけるため、矯正中でも目立ちにくく、自然な見た目を保てる。
      • 違和感・発音への影響が少ない:下の歯の裏側に装置がないため、舌に当たりにくく、発音のしにくさや違和感が軽減される。
      • 費用を抑えられる:上下舌側矯正よりも比較的経済的。
    • デメリット
      • 完全に目立たないわけではない:上の歯の裏側装着でも、近くで見ると装置がわかる場合がある。

    治療期間・費用

    • 治療期間

      治療期間 1年〜3年程度

    • 費用

      110万円(税込)

  • マウスピース矯正

    マウスピース矯正

    ワイヤーやブラケットを使用せず、透明なマウスピース(アライナー)を段階的に交換しながら歯並びを整える矯正治療です。
    カスタムメイドで透明な装置は目立ちにくく、取り外せるため食事や歯磨きがしやすいという特徴があります。

    マウスピース矯正の特徴

    • メリット
      • 審美性が良い
      • 取り外し可能のため清潔に保ちやすい
      • 口内を傷つけたり痛み、違和感が少ない
    • デメリット
      • 1日20時間使用できる人でしか治療効果を得られない
      • 歯並びの状態により不向きな場合もある

    治療の流れ

    • 1. 初診相談
    • 2. 検査、口腔内スキャン、診断(この時に矯正料金をお支払いください)
    • 3. 装置が出来てくるまでインビザラインは1ヶ月程、リュクシアアライナーは2週間程かかります
    • 4. 治療スタート(1〜2ヶ月毎の来院になります)
    シェアスマイル

    1.インビザライン

    インビザラインは、透明で目立ちにくいマウスピース型矯正装置を使用した治療システムです。従来のマウスピース矯正は「軽度の歯並びの乱れ」にしか対応できないケースもありましたが、インビザラインは抜歯を伴う症例や難易度の高い不正咬合にも対応できるよう設計されています。

    インビザラインの特徴

    • 透明で目立ちにくいデザイン
    • 食事・歯磨きの際には取り外し可能で衛生的
    • 抜歯矯正や複雑な歯並びにも対応

    見た目の改善だけでなく、正しい噛み合わせや口腔機能の向上までをトータルに考え、患者様1人ひとりに合わせた矯正治療を提供します。
    「自信を持って笑えること」
    その喜びを、あなたと、そして周りの人たちともシェアしていく。
    それがインビザラインの想いです。

    リュクシアアライナー

    2.リュクシアアライナー

    リュクシアアライナーは、軽度の叢生(前歯のがたつき)を対象にした透明で目立ちにくいマウスピース矯正です。
    「ちょっと気になる歯並びだけ整えたい」
    「ワイヤー矯正は大げさに感じる」
    そんな方にぴったりの矯正治療を、シンプルで快適にご提供します。

    リュクシアアライナーの特徴

    • 透明で目立ちにくいデザイン
    • 食事・歯磨きの際には取り外し可能で衛生的
    • 軽度の叢生に対応
    • 数ヶ月〜1年程度で治療完了するケースで使用

    リュクシアアライナーは、「気軽に、美しく」をコンセプトにしたち矯正治療です。
    大掛かりな治療ではなくても、前歯が整うだけで笑顔の印象は大きく変わります。
    あなたの日常に溶け込む、自然で上質なマウスピース矯正をぜひ体験してください。

    治療費用

    • 費用

      インビザライン 77万円(税込)
      リュクシアアライナー 22万円(税込)+ 回数分×11,000円(税込)
      必要回数は初診相談時にお話しできます

小児矯正

pediatric orthodontics

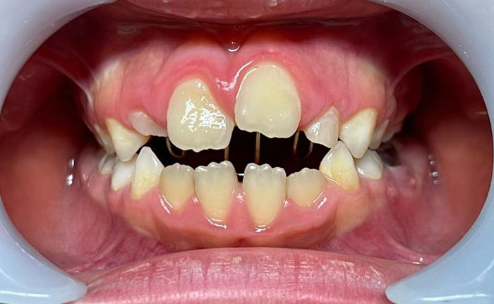
  • 下顎前突(受け口)の子供

    下顎前突(受け口)の子供

    下顎前突とは

    下の前歯やあごが上の歯より前に出ている状態を下顎前突(受け口)といいます。
    見た目の問題だけでなく、噛み合わせが反対になることで

    • 発音のしづらさ
    • 食べにくさ
    • あごの成長のアンバランス

    などが起こることがあります。
    また、骨格性反対咬合、歯性反対咬合、機能性反対咬合があり、それぞれに適した治療をする必要があります。

    早期治療の大切さ

    成長期のお子さんは、あごの成長をコントロールできる「骨格的な矯正治療」が可能です。特に、上あごの成長が遅れているタイプの受け口では上あごを前に引き出す治療を行うことで、将来の手術や重度矯正を防ぐことができます。

    使用する装置

      • 上顎前方牽引装置(フェイシャルマスク)

        上あごを前方に成長させるために使う装置です。
        お口の中の装置とお面の装置をゴムで繋ぎ、上あごを前方へ優しく引っ張ります。
        主に夜間(10〜12時間程)の使用で効果が期待できます。
        ※成人矯正に移行する場合、装置代の費用の半額分割引します。

        主な目的
        • 上あごの成長を促す
        • 下あごとのバランスを整える
        • 受け口を改善する
      • リンガルアーチ

        上あごの奥歯に装着する固定式の装置です。
        上顎前歯の反対咬合に使用することができ歯を押し出すことにより短期間で部分的な反対咬合を改善します。
        ※成人矯正に移行する場合、装置代の費用の半額分割引します。

    治療の流れ

    • 1. 初診相談
    • 2. 精密検査・分析診断
    • 3. 装置の印象採得
    • 4. 装置の装着・使用開始
    • 5. 定期チェック(1〜3ヶ月に1回程度)
    • 6. 成長の経過を見ながら装置の終了時期を判断

    治療時期の目安

    一般的に、6〜9歳ごろ(乳歯〜混合歯列期)が最も効果的です。この時期は上あごの成長力が高く、骨格の改善がしやすいタイミングです。

    小児矯正治療の特徴

    • 上あごの成長を促す
    • 下あごとのバランスを整える
    • 受け口を改善する

    ご家庭でのポイント

    • お家にいる時間はなるべく装着する習慣をつけましょう
    • つけ外しの練習をして、安全に使えるように
    • 痛みや不快感がある場合は無理せずご相談ください

    ドクターからのメッセージ

    「受け口」は早期に対応することで、将来的な矯正負担を大きく減らすことができます。
    お子さんの笑顔と自信のために、成長を味方につけた矯正治療を一緒に進めていきましょう。

    治療費用

    • 費用

      上顎前方牽引装置 33万円(税込)

      リンガルアーチ 33万円(税込)

      その他の小児矯正治療 状態に合わせて11〜33万円(税込)

  • マイオブレース

    マイオブレース
    (機能的矯正治療)

    マイオブレースは歯並びの原因を根本から改善するための矯正治療です。
    従来のワイヤー矯正のように「歯を動かす」ことが目的ではなく、お口の機能(呼吸・舌の位置・飲み込み方・口の閉じ方を正しく整えることで、自然に歯が正しい位置に並ぶように導きます。

    マイオブレース

    マイオブレースの特徴

    • ワイヤーを使わない「取り外し式」矯正
      柔らかいシリコン素材のマウスピース型装置を使用します。痛みが少なく、歯や歯ぐきへの負担も軽減。学校や食事の時は外せるため、日常生活に支障がありません。
    • 成長期に最適な「早期治療」
      マイオブレースは、5〜12歳くらいの成長期のお子様に特に効果的です。
      顎の成長や筋肉の発達を利用することで、将来的な抜歯やワイヤー矯正を避けられるケースもあります。
    • お口の「悪い癖」を改善

      マイオブレースではお口周りの筋肉のトレーニングも行います。例えば

      • ・口呼吸を鼻呼吸に改善
      • ・舌の正しい位置を覚える
      • ・唇を閉じる習慣づけ
      • ・正しい飲み込み方の練習

      こうした口腔筋機能トレーニングによって、歯並びだけでなく、姿勢や発音、集中力にも良い影響が期待できます。

    マイオブレース
    設計上の特徴
    ① DynamicCoreTM
    優れた歯列発育効果を提供します。
    ② タンタグ、ガード、エレベーター
    舌が正しく位置付けられるよう訓練します。
    ③ トゥーススロット
    永久歯を配列します。
    ④ リップバンパー
    口唇の訓練をします。

    治療の流れ

    • 1. 初診相談
    • 2. 口唇圧等の筋測定による検査
    • 3. 治療スタート:1日1時間以上の装着+就寝時の使用が基本です。
    • 4. 経過観察・フォロー:成長に合わせて装置を変更し、歯並びと機能を安定させます。

    治療時期の目安

    お子さまの成長や協力度によりますが、およそ1〜3年の継続が理想です。定期的な通院とご家庭でのトレーニングが大切です。

    マイオブレースで得られる効果

    • 歯並びの改善(叢生・出っ歯・受け口・開咬など)
    • 口呼吸から鼻呼吸へ
    • 姿勢や集中力の向上
    • 顔立ちのバランス改善(表情筋が鍛えられるため、自然な笑顔へ)
    • 将来的な矯正治療の短縮・軽減

    保護者の方へ

    マイオブレースは「きれいな歯並び」だけでなく「健康な成長」を育てる治療です。
    お子さま自身が正しいお口の使い方を身につけることで、一生ものの美しい笑顔を守ることができます。

    治療費用

    • 費用

      装置代55,000円(税込)
      追加で装置が必要になった場合、1つにつき22,000円(税込)

    なんでこんなに安いの?

    当クリニックの方針により、より多くのお子さまに矯正治療を身近に感じていただくためにここまで低価格の設定で矯正治療を受けられるようにしました。

    当クリニックのマイオブレース使用の方で、成人矯正へ進める場合は装置代の半額分(25,000円)割引致します。

  • その他(機能的矯正装置)

    早期から“お口の機能(舌・唇・頬・咀嚼・呼吸)”を整え、あごの成長や歯並びを正しい方向へ導く治療です。ワイヤーで無理に動かす前に、原因となるクセや骨格の成長バランスを整えることで、将来の抜歯・固定式装置の負担を減らすことが期待できます。

    • 対象年齢の目安:乳歯列後期~混合歯列期(5~12歳前後)
    • 主な目的:口腔習癖の改善/あごの前後・幅のバランス調整/咬み合わせの誘導
    • 装着の基本:日中数時間+就寝時 ※装置により異なります。

    こんなお悩みに

    • 指しゃぶり・舌突出癖・口呼吸がある
    • 前歯が開いている(開咬)、出っ歯・受け口の傾向がある
    • 奥歯の咬み合わせが低い/前歯が深く咬み込みすぎる
    • 歯がガタガタで、顎が小さく感じる
    • タングクリブ

      タングクリブは、歯の裏側に装着するタイプの装置で、舌のクセ(舌突出癖)や指しゃぶりなどによって起こる歯列不正を改善するために使われます。
      お子さんの中には、舌を前に突き出すような動きや、唇を閉じにくい習慣が原因で前歯が開いたり(開咬)・出っ歯傾向になったりすることがあります。
      タングクリブはこうした「悪い舌の位置・使い方」をやさしく抑え、舌が正しい位置(スポットポジション)に戻るように誘導していきます。

      構造としくみ 装置の内側にある小さな金属ワイヤー(柵のような形状)が、舌先の前方への動きをブロックします。
      これによって舌が歯の裏を強く押すことを防ぎ、自然と舌が上あごの正しい位置に触れるように習慣づけられます。
      その結果、前歯が押し出される力が減少し、開咬や出っ歯の改善・再発防止につながります。
      効果と特徴
      • ・舌突出癖・指しゃぶり癖の改善
      • ・前歯の開咬や出っ歯の予防・改善
      • ・正しい舌の位置・飲み込み方の習得
      • ・発音や口呼吸の改善効果も期待できる
      装着方法・使用期間
      • ・固定式(歯にバンドで装着)または取り外し式があります。
      • ・固定式の場合は、常時装着しながら食事・歯みがきも可能です。
      • ・治療期間は6か月〜1年程度が目安で、個人差があります。

      発音や食事時に少し違和感を感じることがありますが、1〜2週間ほどで慣れてくる方がほとんどです。

      お手入れ方法
      • ・固定式の場合:歯ブラシや歯間ブラシで装置周囲をしっかり清掃
      • ・取り外し式の場合:毎日ぬるま湯+中性洗剤でやさしく洗浄
      • ・装置の変形を防ぐため、熱湯消毒やアルコール使用は避けてください。
      適応するケース
      • ・舌を前に突き出すクセがある(舌突出癖)
      • ・指しゃぶりが長く続いていた
      • ・前歯が開いて咬めない(開咬)
      • ・上の前歯が前に出ている(上顎前突)
      リスク・副作用
      • ・装着初期の発音の違和感・舌先の軽い刺激
      • ・清掃不足による歯肉炎や口臭のリスク
      • ・舌癖が再発する場合は、舌の筋機能訓練(MFT)を併用
      まとめ タングクリブは、装置そのものが歯を動かすのではなく、「悪い舌のクセを治し、正しい機能を取り戻す」ための治療です。
      早い段階で装着することで、将来的な矯正治療の負担を減らすことができます。
    • 咬合挙上板(バイトプレート)

      咬合挙上板は、上顎の歯に装着する取り外し式の床矯正装置で、バイトプレート(Bite Plate)とも呼ばれます。
      主に、上顎の前歯で下顎の歯を深く覆い込むような「深い咬み合わせ(過蓋咬合)」の改善に使用される装置です。

      構造としくみ 咬合挙上板は、上顎の前歯の裏側部分に取りつけられ、装置の一部が少し盛り上がったような形をしています。
      下の前歯がこの盛り上がった部分に当たることで、下顎の位置が少し下がり、奥歯が自然に浮き上がるようになります。
      これにより、前歯で強く咬み込みすぎている状態(過蓋咬合)が徐々に改善され、正しい咬み合わせの高さを取り戻すことができます。
      効果と特徴
      • ・深い咬み合わせ(過蓋咬合)の改善
      • ・下顎の位置を正しい高さに誘導
      • ・顎関節への負担を軽減
      • ・咬合力のバランス改善

      このように、咬合挙上板は「咬み込みすぎを防ぐ」ことで、下顎の自然な成長や筋肉のバランスを整えるサポートをします。

      装着方法・使用期間
      • ・就寝時を中心に使用し、必要に応じて日中も数時間装着します。
      • ・食事や歯みがきの際は取り外せるため、お子さんでも扱いやすい装置です。
      • ・使用期間は数か月〜1年程度が目安です。(症状により異なります)

      初めのうちは話しづらさや違和感を感じることがありますが、数日〜1週間ほどで慣れていく方がほとんどです。

      お手入れ方法
      • ・使用後はぬるま湯と中性洗剤で毎日清掃
      • ・熱湯や漂白剤、アルコールは変形の原因になるため避けてください。
      • ・清掃後はしっかり乾燥させて保管しましょう。
      適応するケース
      • ・上顎前歯の咬み込みが深い(過蓋咬合)
      • ・顎関節に負担がかかっている
      • ・下顎の動きが制限されている
      • ・顎や顔の成長バランスを整えたい場合
      リスク・副作用
      • ・装着初期の発音や咀嚼の違和感
      • ・使用時間不足による効果の低下
      • ・装置の破損・変形(熱・乾燥による)
      • ・慣れるまでの軽い歯肉の刺激
    • 咬合斜面板(ジャンピングプレート)

      咬合斜面板は、上顎につける取り外し式の床矯正装置で、ジャンピングプレートとも呼ばれます。
      主に「深い咬み合わせ(過蓋咬合)」や「下顎の位置が後ろに下がっている」場合に用いられ、咬み合わせを整えるために下顎を前方へ導く働きをします。
      19世紀に考案された歴史のある装置で、現在でも成長期の子どもの咬合誘導に広く使用されています。

      構造としくみ 装置の前方部分に斜面(スロープ)が設計されており、下の前歯がその斜面に当たることで下顎が自然に前方へ誘導されます。
      これにより、下顎の骨が前方に動きやすくなり、奥歯の咬み込みを改善しながら咬み合わせ全体の高さを整えることができます。
      下顎の位置が正しい位置に導かれることで、顔貌のバランスや顎関節への負担軽減にもつながります。
      効果と特徴
      • ・下顎の成長を前方に促す
      • ・深い咬み合わせの改善
      • ・顎関節の緊張をやわらげる
      • ・将来の骨格的ズレを予防する

      また、奥歯が強く噛み込んでいた方も、斜面の効果で徐々に咬合が上がり、自然なバランスが生まれます。

      装着方法・使用期間
      • ・就寝時中心に使用し、可能であれば日中も数時間装着します。
      • ・装置は取り外し式のため、食事や歯みがきの際には外せます。
      • ・初めの数日は違和感や軽い発音のしづらさがありますが、次第に慣れていきます。

      効果を得るためには使用時間を守ることがとても大切です。
      使用を中断すると、せっかく誘導された顎の位置が戻ってしまうことがあります。

      お手入れ方法
      • ・毎日ぬるま湯と中性洗剤でブラシ洗浄
      • ・熱湯やアルコール消毒は変形の原因になるため避けてください。
      • ・清掃後はしっかり乾燥させ、専用ケースで保管しましょう。
      適応するケース
      • ・深い咬み合わせ(過蓋咬合)
      • ・下顎の後退(Ⅱ級傾向)
      • ・顎のズレや筋肉バランスの改善が必要な場合
      治療期間の目安

      使用状況や成長段階によって異なりますが、6か月〜2年程度の装着で効果が期待できます。
      定期的なチェックで、咬み合わせや成長の変化に合わせて調整を行います。

      リスク・副作用
      • ・慣れるまで発音や咀嚼の違和感
      • ・使用時間不足による効果減弱
      • ・稀に装置の破損や粘膜刺激(修理可能)
      まとめ 咬合斜面板は、歯を無理に動かす装置ではなく、「咬み合わせの高さ」と「下顎の位置」を自然に誘導するための装置です。
      成長期に適切に使用することで、顎の成長を助け、将来的な不正咬合の予防にもつながります。
    • アクチバトール

      アクチバトールは、1936年に考案された歴史ある機能的矯正装置で、主に就寝時に使用する取り外し式の装置です。
      上下の歯を同時に覆う構造で、下顎を前方へ誘導しながら、顎の成長を正しい方向へ導くことを目的としています。
      機能的矯正装置の代表的なもののひとつで、類似する装置として「バイオネーター」などがあります。

      構造としくみ

      アクチバトールをお口に装着すると、下顎がやや前方の位置に誘導され、上顎と下顎の前歯の先端がほぼ同じ高さになるように調整されます。
      装置が歯や顎の骨に直接強い力をかけるのではなく、お口のまわりの筋肉(舌・頬・唇)の働きを利用して、下顎の前方成長を自然に促すのが特徴です。
      この働きによって、

      • ・下顎の骨の発育を促進
      • ・上顎前突(出っ歯)や反対咬合の改善
      • ・深い咬み合わせ(過蓋咬合)の改善

      が期待できます。

      効果と特徴
      • ・下顎を前方に誘導し、骨格的バランスを整える
      • ・出っ歯(上顎前突)の改善
      • ・顎関節や筋肉への負担を軽減
      • ・成長期の自然な顎の発育をサポート

      顎の成長期に使用することで、骨格そのものの改善が期待でき、将来的な固定式矯正の必要性を軽減できる場合もあります。

      装着方法・使用期間
      • ・就寝時を中心に使用し、日中も1〜2時間程度装着するのが理想です。
      • ・食事や歯みがきの際には取り外し可能です。
      • ・使用期間は1〜2年程度が目安ですが、成長段階により異なります。

      初めのうちは発音の違和感や唾液量の増加が見られることがありますが、ほとんどの場合、1〜2週間で慣れていきます。

      お手入れ方法
      • ・使用後はぬるま湯と中性洗剤で優しくブラッシング洗浄
      • ・熱湯や漂白剤、アルコール消毒は避けてください。(変形防止のため)
      • ・清掃後はしっかり乾燥させ、専用ケースで保管します。
      適応するケース
      • ・上顎前突(出っ歯)
      • ・下顎の成長不足(Ⅱ級傾向)
      • ・深い咬み合わせ(過蓋咬合)
      • ・骨格的アンバランスの改善が必要な場合
      リスク・副作用
      • ・装着初期の発音の違和感、唾液量の増加
      • ・使用時間不足による効果の低下
      • ・稀に装置の破損・変形(無理な着脱による)
      • 下顎位置の急な変化による一時的な筋肉疲労感
      まとめ アクチバトールは、成長期に下顎の発育を促すための重要な装置です。
      ワイヤーで歯を動かす前の段階で、顎の成長をコントロールする“機能的矯正”として高い効果を発揮します。
      日常生活の中で無理なく使える、自然な矯正法です。
    • フレンケル装置(Frankel Functional Regulator)

      フレンケル装置は、1966年にドイツの矯正医・ロルフ・フレンケル博士によって考案された機能的矯正装置(Functional Regulator)です。
      アクチバトールと同様に、顎の成長や筋肉の働きを利用して歯列を整える目的で使われますが、アクチバトールが「夜間中心」なのに対し、フレンケル装置は日中も装着して使用するのが特徴です。

      構造としくみ

      フレンケル装置は、口の周囲に当たる頬側・唇側の柔らかい部分(筋肉の内側)に広くフィットする形状をしています。
      この構造によって、

      • ・口の周囲の筋肉が歯を押し込む力を抑える
      • ・本来の正しい筋肉の使い方を促す

      といった働きをします。
      その結果、過剰な筋肉の圧力を防ぎながら、顎の自然な成長をサポートし、歯並びや咬み合わせを根本から改善していきます。

      効果と特徴
      • ・頬や唇の筋肉のバランスを整える
      • ・顎の成長方向をコントロール
      • ・出っ歯(上顎前突)や反対咬合の改善
      • ・開咬(奥歯だけが咬み合う状態)の改善
      • ・顎関節や咬合力のバランス改善

      装置の働きは、歯そのものを直接動かすというよりも、筋肉と顎の発育環境を整えることに重きを置いた治療法です。

      装着方法・使用期間
      • ・日中+就寝時の装着が基本(1日12〜14時間が理想)
      • ・食事・歯みがきの際には取り外しが可能です。
      • ・使用期間は1〜2年程度が目安ですが、成長段階により調整します。

      装着初期は少し話しづらい・唾液が増えるなどの違和感がありますが、数日〜数週間で慣れる方が多いです。

      お手入れ方法
      • ・使用後はぬるま湯と中性洗剤でやさしく洗浄
      • ・ブラシでこすりすぎるとワイヤーが変形する場合があるため注意
      • ・熱湯・漂白剤・アルコールの使用は避けてください。
      • ・清潔に保つことで、粘膜トラブルを予防できます。
      適応するケース
      • ・上顎前突(出っ歯)
      • ・反対咬合(受け口)
      • ・開咬(前歯が咬まない状態)
      • ・顎の発育に左右差がある
      • ・筋肉のバランスが崩れている
      リスク・副作用
      • ・装着初期の発音の違和感や唾液量の増加
      • ・使用時間不足による効果の低下
      • ・ワイヤー変形や粘膜の軽い刺激
      • ・慣れるまで口唇の動かしづらさを感じることがあります。
      まとめ フレンケル装置は、歯を直接動かすのではなく、「筋肉と顎の成長バランスを整える」ことで歯並びを自然に改善する機能的矯正装置です。
      成長期に合わせて使うことで、骨格や筋肉の発達を正しい方向へ導き、将来的なワイヤー矯正の負担を軽くする効果が期待できます。

定額制のメリット

merit

  • ●期間延長でも安心

    仕事、学校の都合で治療期間が延びても費用は一定です。

  • ●支払い方法が選べる

    定額なので様々な支払い方法を選択できます。

  • ●追加料金なし

    月々の調整料金、高品質装置がすべて基本料金に含まれています。

  • ●審美ブラケット標準

    他院では追加料金となる審美ブラケットが基本料金に含まれています。

お支払い方法

payment

ライフスタイルにあわせてお支払い方法をお選びいただけます。

  • ●一括払い

    唇側矯正装置

    装置装着時に現金またはカードで一括でお支払い

    • ・プラスチックブラケット矯正 70.4万円(税込)
    • ・セルフライゲーションブラケット +ホワイトワイヤー矯正 77万円(税込)

    舌側矯正装置

    装置装着時に132万円(税込)を現金またはカードで一括でお支払い

    ハーフリンガル

    装置装着時に110万円(税込)を現金またはカードで一括でお支払い

    マウスピース矯正

    装置発注時に現金またはカードで一括でお支払い

    • ・インビザライン 77万円(税込)
    • ・リュクシアアライナー 22万円+(回数分×11,000円)(税込)
  • ●当院での分割

    ※装置を外すまでにお支払いください。(治療をすすめて治療期間が予定よりも少なくなる場合、分割回数の相談をする可能性があります)
    お支払いが遅延する場合、デンタルローンへ切り替えになります。

    • 唇側矯正装置

      • 【プラスチックブラケット矯正 70.4万円(税込)で治療した場合】

        2,4,8,12,24回で分割していただいてもOK

        12回分割の場合 初回66,000円、残り11回は58,000円
        24回分割の場合 初回60,000円、残り23回は28,000円
      • 【セルフライゲーションブラケット +ホワイトワイヤー矯正 77万円(税込)で治療した場合】

        2,4,8,12,24回で分割していただいてもOK

        12回分割の場合 初回110,000円、残り11回は60,000円
        24回分割の場合 初回80,000円、残り23回は30,000円
    • 舌側矯正装置

      【舌側矯正132万円(税込)で治療した場合】

      検査の時に、初回30万円必要になります。

      残り102万円を2,4,8,12,24回で分割していただいてもOK

      24回分割の場合 月々42,500円
    • ハーフリンガル

      【ハーフリンガル矯正110万円(税込)で治療した場合】

      検査の時に、初回26万円必要になります。

      残り84万円を2,4,8,12,24回で分割していただいてもOK

      24回分割の場合 月々35,000円
  • ●デンタルローン

    ※別途ローン会社による分割手数料(5.8%)がかかります。

    唇側矯正装置

    • 【プラスチックブラケット矯正】

      デンタルローンは最大10年での支払いが可能です。

    • 【セルフライゲーションブラケット +ホワイトワイヤー矯正】

      月々約6,800円から~
      装置装着時に77万円(税込)をデンタルローンでお支払い(12~120回払い可能)

    舌側矯正装置

    月々約11,600円から~
    装置装着時に132万円(税込)をデンタルローンでお支払い(12~120回払い可能)

    ハーフリンガル

    月々約9,700円から~
    装置装着時に110万円(税込)をデンタルローンでお支払い(12~120回払い可能)

総合歯科だから
できること

general dentistry

総合歯科だからできること
  • ●ワンストップ治療

    保険のクリーニング、虫歯の治療、抜歯まで院内で完結。他院への紹介は不要です。

  • ●専門チーム

    総合歯科×歯科衛生士×矯正歯科医がタッグを組んで矯正ライフを全力サポート。

  • ●土日診療・急患対応

    祝日以外は毎日診療。急患対応は週7日可能で、調整料はかかりません。

  • ●見えない矯正対応

    裏側矯正、マウスピース矯正に対応。成人式やブライダル時の前歯ブラケット除去も可能。

  • ●予防に特化

    毎月のクリーニング&フッ素塗布、磨けるまで何度でも歯磨き指導。また、セルフケアグッズを最初の1セット目はプレゼント!ご自身に合った口腔清掃グッズを見つけましょう。

    ●予防に特化

最新鋭レイフェイス5D導入

最新鋭レイフェイス5D導入

当院では最新鋭の技術であるレイフェス5Dを導入しています。
レイフェス5Dは、CT撮影の3D立体データと皆様の顔写真を組み合わせる事により、矯正治療後の「笑顔」や「発声時の表情」を動画でシュミレーションできるシステムです。

シミュレーション1
シミュレーション2

よくある質問コーナー

Q and A

Q. 治療期間どのくらいですか?
A. 患者様にもよりますが、デコボコが軽度の部分矯正の方であれば4ヶ月〜1年程、全顎の抜歯矯正の場合1年半〜2年程。なるべく早く完成させること常に考えながら治療します。
Q. 通院間隔はどのくらいですか?
A. ワイヤーによる矯正の場合は、3〜4週間毎に治療していきます。マウスピース矯正の場合は1〜2ヶ月毎の来院になります。
Q. 抜歯の有無は?
A. 可能な限り抜歯をしない矯正をしていきますが、初診相談時にフェイススキャナーを確認後、抜歯した場合としない場合の変化を患者様にイメージしていただき治療方針を決定していただけたらと考えております。
Q. 治療中の痛みやリスク
A. 調整後3〜4日は痛みが出ると思います。初めて装置を装着した時が一番痛みが強く段々と慣れてきます。特に痛みが強い場合は、装置装着時に痛み止めをお渡ししていますのでそちらをお飲みください。
Q. 装置をつけていなかったら後戻りしてしまった
A. 可能な場合は、保定装置の調整により修正します。難しい場合は、再治療となります。
再治療費は100000〜250000円程かかります。
Q. 始める時期(成人)はいつが良いですか?
A. 気になった時が治療のタイミングです。何歳でも矯正治療を受けていただくことができます。
Q. 始める時期(小児)はいつが良いですか?
A. 子供の場合は、お口を見せてもらえる年齢(3、4歳頃)から対応可能です。必要に応じた装置の説明、今後必要になる装置の説明ができるので一度相談しにきてください。
Q. 歯磨きはどうやってやるのですか?
A. 装置装着時に、歯磨きセット一式をお渡ししています。同時に汚れが残りやすい部分の説明、磨き方等詳しく説明致します。
Q. 虫歯の治療はどうしたら良いですか?
A. 当院で治療することができます。他の歯科医院に通院中の患者様につきましては連携しての虫歯の治療が可能です。
Q. 矯正治療は料金が高いのではと心配です
A. 費用を抑えたいという人には、前歯だけ治したい等希望に応じて部分矯正の案内もでき、20万円〜治療を受けていただけますのでご相談ください。通常の唇側矯正治療では、総額77万円(税込)にて治療が可能です。矯正業界では破格の値段で設定しています。月々の費用を抑えたい人には、24回までなら利子なしでの分割、さらにデンタルローン(最大120回分割)では月々約6800円〜治療が可能です。
Q. 治療途中、妊娠しても大丈夫ですか?
A. 一部お薬やフッ素塗布の制限をすることもありますが問題なく治療をすることが可能です。
Q. 矯正装置をつけて人前に出るのに抵抗があるのですが?
A. 唇側矯正装置の中では、最も目立たない綺麗な装置を使用しております。さらに目立たせたくない方へは、舌側矯正装置、マウスピース矯正もありますのでご安心ください。
Q. 装置をつけて楽器やスポーツは大丈夫ですか?
A. 金管楽器をされる方は唇側矯正装置により演奏への影響が出る場合がありますが、段々と慣れてはきます。舌側矯正装置の方が影響が少ないです。
スポーツによる影響は基本的にはありません。マウスピースが必要なスポーツをされている方へ、矯正中でもWIN proという高性能マウスピースのご案内が可能になります。
Q. 仕事上転勤があるかもしれません。どうしたら良いですか?
A. 転勤の日程が分かり次第早めに教えてください。可能な限り転勤日までに仕上げます。難しい場合は、転勤先で引き継いでいただけるクリニックを探してください。治療期間、治療の進み具合を考慮し一部料金を返金致します。
Q. 矯正装置をつけて食べられなくなるものはありますか?
A. 粘着力の強いガムは装置にへばり付いて取れなくなってしまうので食べないでください。他には特に制限はありません。
Q. 装置の変色は起こりますか?
A. 唇側矯正装置(セルフライゲーションブラケット)の場合、基本的には何を食べていただいても変色しません。一時的にゴム製の装置が付く場合にはカレーなどの色の濃い食べ物で変色することがあります。
マウスピース矯正の場合、短期間でマウスピースの交換をするため心配ありません。
Q. 唇側矯正治療で色付きのゴムを使用することはできますか?
A. 唇側矯正装置は2種類取り扱っています。ゴムで結紮するタイプですとカラーゴムの使用が可能です。
Q. 【保険で受けられる矯正治療】誰でも保険で矯正治療ができますか?
A. いいえ。保険適用となるのは、顎変形症・先天性疾患・一定条件の埋伏歯など、医療的必要性が認められる場合に限られます。
Q. 【保険で受けられる矯正治療】自費矯正と保険矯正、どちらが良いですか?
A. 状態によって適切な治療が異なります。
骨格性のズレが大きい場合は外科矯正が必要になることもありますが、矯正単独(自費)で対応できるケースもあります。
Q. 【保険で受けられる矯正治療】まず相談だけでも可能ですか?
A. 可能です。診査・検査を行い、治療方針と保険適用の可能性について分かりやすくご説明します。